您所在的位置: 首页 >> 院务公开 >> 医院动态

医院动态

【医疗技术全面提升】再塑“膝”望!关节外科完成一例高难度全膝关节翻修术
信息来源: 编辑:

【医疗技术全面提升】再塑“膝”望!关节外科完成一例高难度全膝关节翻修术


点击蓝字 关注我们

图片


WINTER

图片
图片

近日,我院关节外科成功为一位患者行“右侧全膝关节假体翻修术”,术后患者膝关节功能恢复良好,顺利出院。

图片
图片

膝关节置换“攻坚战”

图片
图片

陈大叔两年前进行了全膝关节置换术,术后一年多出现了疼痛、体温高等症状,来院检查后发现是关节置换后感染。关节外科给他做了膝关节旷置术,经过半年多的恢复,查体发现血沉、C反应蛋白等感染指标都已恢复正常。近日,关节外科为其行膝关节翻修手术。

与初次关节置换相比,翻修术对手术医生、患者都具有挑战性。潘永德迅速组织了会诊,经过多次深入讨论,最终为陈大叔量身定制了一套详细的手术方案。在清华长庚医院陈连旭教授的指导下,历经6个小时,关节外科团队成功为患者行“右侧全膝关节假体翻修术”。

图片
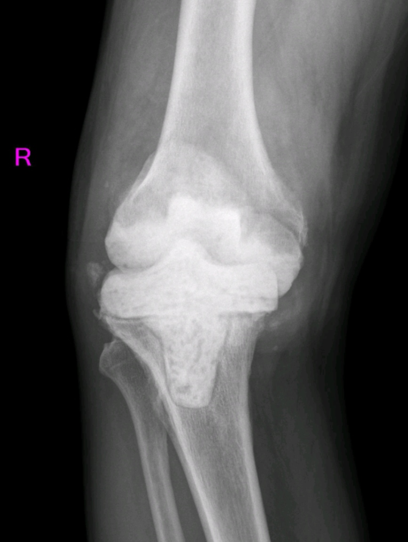
图片

全膝关节假体翻修术前

图片
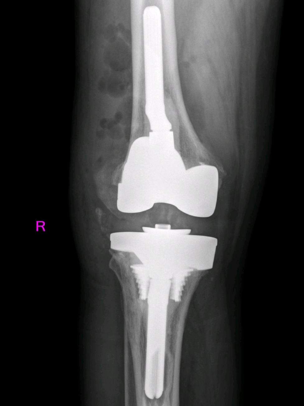
图片

全膝关节假体翻修术后

术后,陈大叔在医护人员的精心照料下,逐渐恢复了健康。医生们定期为他进行康复指导,帮助他进行膝关节的功能锻炼。同时,他们还对陈大叔进行了全面的检查,确认他的膝关节没有出现感染、假体移位等并发症,这让他和家人都感到无比的欣喜和感激。

图片
图片

知识链接

图片
图片
图片

近年来,随着国人寿命延长、医疗水平逐渐提高、国家对关节置换假体集采,我院关节置换例数逐年增加,但受益于科技日新月异的进步,初次膝关节置换术后假体使用时间延长,膝关节假体翻修术是较为少见的,其例数少,操作困难,术式复杂,对技术人员的要求也较高。那么,哪些人需要做翻修呢?

1.假体周围骨质溶解,长期使用关节后假体松动。

2.出现关节周围感染和关节肿痛。

3.关节置换术后,患者因外伤导致关节假体周围骨折。

4.关节脱位和关节置换后关节脱位。

什么是全膝关节假体翻修术?

全膝关节假体翻修术(TKA Revision)是一种针对全膝关节置换术后出现并发症或假体失败情况的手术,旨在解决初次置换术后未能解决的问题,如疼痛、关节不稳、假体松动或感染等。该手术通常比初次置换术更复杂,需要更丰富的技术和临床经验。

图片
图片

关节外科

图片
图片
图片
图片

科室人员

关节外科科室现有医护人员15人,其中主任医师1人,主治医师2人,住院医师2人;主管护师2人,护师5人,护士3人。

图片

业务范围

1、人工膝、髋关节置换手术

目前科室的人工关节置换手术量超过500例/年,其中膝关节置换超过250例,人工髋关节置换超过150例。

2、复杂人工关节翻修手术

科室具备完备的翻修器械和假体以及丰富的手术经验,解决了这些高难度病人求医难的痛苦。

3、保膝治疗技术

我院的保膝治疗技术目前走在山东省县级医院的前列,目前已经广泛开展膝关节微创单髁置换手术、胫骨高位截骨保膝治疗手术,并取得良好手术效果和更佳的早期满意度。

4、关节镜及运动医学技术

科室在潍坊市较早地开展了膝、肩、踝关节镜手术,许多技术在省内县级医院处于领先或先进水平。现年均完成关节镜手术数百例,其中微创膝关节镜下前/后交叉韧带解剖重建术已达省内县级医院领先水平,微创肩关节镜下肩袖、盂唇缝合修补术、微创膝关节镜下半月板缝合术处于潍坊市先进水平。

5、高龄髋部骨折病人的手术治疗及围手术期处理

具备丰富的高龄髋部骨折手术经验,无论对于高龄的股骨颈骨折还是转子间骨折采取人工股骨头置换方法,术后即可缓解疼痛,坐起翻身,术后第2天即可下地行走,1月可恢复生活自理,极大减少了卧床导致的并发症发生,降低了护理和陪床难度,具有极大的经济效益和社会效益。关节外科累计完成90岁以上髋部骨折病人50余人,满意度较高。

6、肢体畸形、功能重建技术

关节外科通过与国家康复医院、潍坊市残联、高密市残联合作,在高密市率先开展了泰勒架、伊里扎洛夫外固定架等外固定矫形技术。

7.无痛病房

针对部分患者入院后疼痛明显,常规药物治疗效果不明显的情况,科室与麻醉科合作,开展无痛病房,针对不同患者患者疼痛部位,给予患者入院、术前、术后相应部位神经阻滞麻醉,以减轻患者围手术期疼痛,目前已正式开展,患者围手术期疼痛明显减轻。

图片

业务骨干




潘永德




图片

潘永德,高密市中医院关节外科主任,中共党员,医学硕士,中国中医药研究促进会保膝委员会委员、山东省中医药学会小儿骨科委员会常务委员、中国医师协会潍坊分会运动医学分会常务委员,潍坊市关节外科学术委员会常务委员,在高密市率先引进了肢体功能重建与矫形项目。

擅长四肢骨关节疾病及外伤的诊断与治疗,对膝肩髋踝肘腕等关节疼痛及外伤、炎症、肿瘤的诊断及治疗有较为丰富的经验。尤其擅长膝肩髋踝肘腕关节疾病的阶梯治疗,包括股骨头缺血坏死、髋关节发育不良及膝关节骨性关节炎的阶梯治疗(微创、截骨矫形、部分关节置换及全关节置换)、肩关节脱位盂唇及肩袖损伤的关节镜下微创治疗、髋关节盂唇损伤、膝关节半月板及交叉韧带损伤、人工髋膝关节置换术等。现已完成科研2项,发表论文2篇,专利1项,参与编写了《现代创伤骨科与康复学》一书。近年来,先后获得高密市“优秀党员之家”、高密市“优秀共产党员”、高密市卫健局“医疗工作先锋”,高密市卫生健康局“脱贫攻坚奖”等。

联系电话:15065663930




王林彬




图片

王林彬,1988年毕业于山东中医学院,主任医师,现为关节外科名誉主任,山东中医药大学兼职副教授。主要从事骨关节病症的临床诊治工作,擅长全髋关节置换、全膝关节置换、单髁置换等手术;对腰椎间盘突出症、腰椎管狭窄症及腰椎滑脱的手术治疗,积累了丰富的临床经验。

联系电话:13963616599




程贵元




图片

程贵元,主治医师,硕士研究生,关节外科专业。山东省健康管理协会关节外科专业委员会委员,山东省老年医学会骨科分会委员。擅长关节病的诊疗,如肩周炎、肩袖损伤、膝关节炎、股骨颈骨折、股骨粗隆间骨折、股骨头坏死、踇外翻矫形治疗等。

联系电话:15165369211




李超




图片

李超,硕士研究生,住院医师,2020年毕业于山东中医药大学骨伤科专业,专业研究方向为关节骨科。

联系电话:18364165036




郭航宇




图片

郭航宇,本科,2021年毕业于齐鲁医药学院临床医学专业,关节外科住院医师。

联系电话:15653623639

图片

外聘专家




陈连旭




图片

陈连旭,清华长庚医院关节科主任、主任医师、教授、博士生导师。

擅长以关节镜为主的关节微创治疗、微创膝、髋关节置换、以及各种运动创伤的治疗。

美国匹斯堡大学运动医学中心高级访问学者,中华医学会运动医学分会青年委员会委员,北京医学会骨科学分会第十一届基础学组委员,中国医师协会中西医结合医师分会第一届脊柱伤病专家委员会委员,北京康复医学会运动伤病专业委员会第一届委员,北京市自然科学基金评审专家。


供稿:关节外科

编辑:姚春雨

责编:王西敏

审核:赵逸